科學治療——從孩子第一顆乳牙開始
- 窩溝封閉
兒童防齲好幫手
- 乳前牙美學修復
迅速恢復前牙美觀
- 乳磨牙金屬冠修復
持久保護齲壞磨牙
- 斷牙修復
牙齒斷了還能接回去
- 舒適拔牙
微創舒適 快速拔除
- 根管治療
有效治療牙疼病因
- 間隙保持器
確保恒牙正常萌出
乳牙防蛀窩溝封閉——兒童防齲好幫手
用高分子材料把牙齒的窩溝填平,使牙面變得光滑易清潔,一方面,窩溝封閉后,窩溝內原有的細菌斷絕了營養的來源,逐漸死亡;另一方面外面的致齲細菌不能再進入,從而達到預防窩溝齲的目的。
舒適、無創傷、操作簡單、兒童易配合,有效避免齲齒發生。
3—12歲乳磨牙、第一恒磨牙、第二恒磨牙。


咨詢價格
咨詢醫生
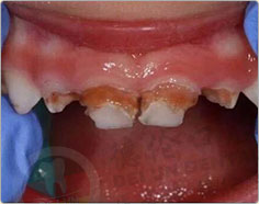
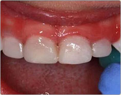
補牙(蛀牙)乳前牙美學修復——迅速恢復前牙美觀
將一個預先成型、與乳前牙外形貼合的透明牙冠恢復缺損或齲壞前牙的美觀、發音、咀嚼功能,有效保護缺損較大的乳前牙至替牙期,從而保證恒牙順利萌出。
表明光潔度高,不易沉積色素;操作時間短 兒童易配合;脫落率低 不易發生繼發齲齒。
兒童乳前牙齲壞。


咨詢價格
咨詢醫生
補牙(蛀牙)乳磨牙金屬冠修復——持久保護齲壞磨牙
將一個預先成型、與乳磨牙非常貼合的不銹鋼金屬牙冠套在齲壞的乳磨牙上,恢復乳磨牙的外形和咀嚼功能的同時防止填充物的脫落,杜絕齲病再次發生,有效保護乳磨牙至替牙期。
有效預防繼續齲齒;恢復正常咬合,維持牙弓長度。
乳磨牙大面積齲壞、年輕恒牙大面積齲壞。


咨詢價格
咨詢醫生
牙外傷修復斷牙修復——牙齒斷了還能接回去
通過高強纖維和光固化樹脂粘結斷折牙冠或修復脫落、松動牙齒。
快速恢復牙齒美觀和功能;牙齒磨損量少;就診時間越短,療效越好。
牙齒折斷、全脫位、半脫位牙齒。


咨詢價格
咨詢醫生
舒適拔牙舒適拔牙——微創舒適 快速拔除
通過美國STA舒眠診療技術和微創技術,讓孩子在舒適過程中快速完成患牙拔出。
電腦控制 簡單迅速;微創 恢復快。
乳牙滯留、乳牙齲壞。

咨詢價格
咨詢醫生
根管治療根管治療——有效治療牙疼病因
運用根尖測量儀、鎳鈦根管預備和熱牙膠充填機對根管進行微創有效地清理根管內壞死物質和病菌,避免遺漏,有利于防止發生根尖周或促進根尖周愈合。
根尖測量儀精準的測量根管長度,避免預備充填不到位或過度充填;鎳鈦根管預備使根管清理更加干凈,同時能保持根管原始形態;具有流動性的熱牙膠充填入根管使充填更加密合。
牙髓炎、根尖炎。


咨詢價格
咨詢醫生
間隙保持器間隙保持器——確保恒牙正常萌出
兒童牙齒早失后,用間隙保持器來防止鄰牙向喪失部位傾斜和對合牙伸長,保證繼承恒牙正常萌出,避免牙齒阻生或牙列擁擠等畸形的發生。
恢復頜骨及牙弓的正常生長;避免不良口腔習慣和心理障礙的產生。
乳牙過早脫落。

咨詢價格
咨詢醫生